正畸专科
您的当前位置:首页 > 常见问题 > 正畸专科
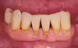
正畸导致牙齿松动?很大可能是您牙龈萎缩了!
发布时间:2016-11-26 来源:倍新口腔 浏览次数:
您的牙齿会经常出现敏感、松动等症状吗?
如果有的话,牙龈多半是萎缩了...
 
牙龈萎缩到底是怎么回事
事实上,牙龈萎缩是牙周疾病的一种症状,严格来说并不能算一种疾病的名称。那么为什么会牙龈萎缩呢?
 
牙齿名为牙周,顾名思义,则是口腔内牙齿周围的组织,负责营养、支撑和保护我们的牙齿。一般而言,和我们日常口腔情况变化联系紧密的,主要是牙槽骨和牙龈——也就是俗称的「牙肉」。
它们之间的关系正如皮毛一样紧密相连,牙槽骨的量和质直接关系口内牙龈的高度和量。若牙槽骨因年龄、牙周病等原因吸收过多,牙龈一定会相应地发生萎缩。其表现就是本来可以包住牙齿牙根部分发生了退缩,暴露了部分牙根。
 
牙龈一旦发生退缩,造成的后果可不那么简单。首先,这会影响病人口内的美观,笑起来牙肉包不住牙根,可多难看啊!
其次也是最多人抱怨的,牙根因为失去牙肉的保护而感到敏感,无法抵御外界的刺激,造成自己的难受不适,严重可能影响牙神经造成牙髓疾病。然后,牙缝因为没有牙龈覆盖而暴露、变大、会让食物嵌塞其中,造成牙龈流血,炎症加重,牙齿根面形成龋坏。
牙龈萎缩的原因有哪些?
1、生理性的牙龈萎缩
随着年龄的变化,牙龈有可能出现少量的退缩,这类情况在老年人中比较多见,但引起的牙齿敏感较轻微。
2、牙周炎
牙周炎是由于长期不良的口腔卫生导致牙结石、牙菌斑在龈缘、牙缝间的堆积,从而持续释放毒素刺激牙龈,造成牙龈红肿、口臭、牙松动等一系列不良后果。
在经过牙周治疗治疗后如洗牙、牙周刮治后,由于治疗消除了牙周炎炎症和局部刺激因素,原来红肿发炎的牙龈逐渐恢复,因为牙周炎而导致的牙槽骨退缩和牙肉与牙齿的依附关系丧失,牙龈慢慢萎缩,暴露出牙根。
 
3、牙列不齐
牙齿错位,别小看牙齿不齐造成的问题!牙槽骨也就那么多,一旦牙齿拥挤了,有些牙齿表面覆盖的牙槽骨可就薄了不少;这种情况下,一旦咬东西不得当或习惯不佳,有可能会造成牙槽骨进一步吸收,牙龈自然也就萎缩了。有时候有些人牙齿天然解剖结构不佳,分叉特别大,这种牙齿牙槽骨吸收的风险也较一般牙齿要大。
4、刷牙暴力、方式不对
刷牙方法不对,用力不当,会刺激牙龈,习惯横着刷牙往往更容易发生牙龈萎缩,因为此时的刷牙倒不如说是「锯」掉牙槽骨和牙龈;不正确地使用牙签会刺激局部的牙肉和牙槽骨,形成牙龈萎缩。
5、不良的口腔修复体
若有做的不好的假牙,比如活动假牙的固定装置(卡环),刺激了牙龈,便会发生炎症,从而造成牙龈萎缩。
如何预防牙龈萎缩
1、牙周情况不佳
注意刷牙手法和力度,选择合适的清洁用具(牙线等);注意维持良好的口腔卫生,预防牙龈炎、牙周炎的发生。
2、自身因素
没有特别的防治方法,但无论如何都要注意,过大的咬合力量对牙周组织都是一种伤害。
 
已经发生敏感的牙根,视严重程度接受观察、脱敏治疗或牙髓治疗。当然,在不甚严重的阶段,也可使用防敏牙膏配合细致刷牙,也能对症状有所缓解。
需要通过牙周治疗解决的症状,则积极配合治疗,按医生建议接受洁治、刮治、牙周护理或手术。
唯有各个方面一起注意,
牙龈萎缩才不会是可怕的恶魔,
才能为我们所控制!

声明:本网站发布的内容(图片、视频和文字)以原创、转载和分享网络内容为主,如果涉及侵权请尽快告知,我们将会在第一时间删除。文章观点不代表本网站立场,如需处理请联系客服。电话:0551-65622865。

本站全力支持关于《中华人民共和国广告法》实施的“极限化违禁词”的相关规定,且已竭力规避使用“违禁词”。故即日起凡本网站任意页面含有极限化“违禁词”介绍的文字或图片,一律非本网站主观意愿并即刻失效,不可用于客户任何行为的参考依据。凡访客访问本网站,均表示认同此条款!反馈邮箱:1305583976@qq.com。