正畸专科
您的当前位置:首页 > 常见问题 > 正畸专科
您家小孩的牙齿需要矫正吗?一定要找家靠谱的医院哦
发布时间:2016-03-26 来源:倍新口腔 浏览次数:
牙齿不齐又称错颌畸形,是指儿童在生长发育过程中,由先天的遗传因素或后天的环境因素,如疾病、口腔不良习惯、剔牙异常等导致的牙齿、颌骨、颅面的畸形,主要有:牙齿排列不齐、上下牙弓间的颌关系异常、颌骨大小形态位置异常等。
       牙列稀疏
是指牙齿间出现的间隙。一般引起该现象的原因为:牙体形态小,颌骨形态正常;先天缺牙,颌骨形态正常;牙体形态正常,颌过大;拔牙后不镶牙,引起近远中邻牙移位而产生间隙。牙列稀疏的特点是牙量小,骨量正常;或骨量大,牙量正常;或牙量小,骨量大;或软组织因素。
牙列拥挤
是错颌畸形中最常见的,60%~70%的错合畸形患者中可见到拥挤的存在。可表现为牙齿拥挤错位排列不齐;而拥挤牙齿的龋病及牙周病发生率均较正常排列牙齿为高。严重者可造成口唇闭合困难,形成开唇露齿。牙列拥挤分为单纯拥挤和复杂拥挤。
开合
 
开合在临床上较少见,多见于恒牙期,指的是在正中合位及非正中合位时,上下颌部分牙齿在垂直向无合接触,称为开合畸形。
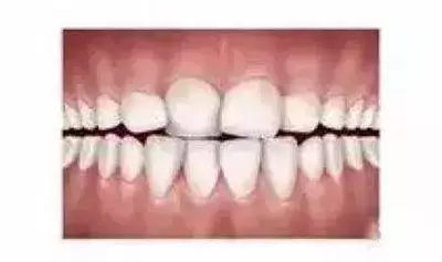
深覆合
 
深覆牙合是一种上下颌牙弓和(或)上下颌骨垂直向发育异常所致的错颌畸形。指的是上前牙切缘盖过下前牙牙冠长度1/3以上或下前牙咬合于上前牙舌侧1/3以上者。
前牙反颌
 
上下牙弓近远中关系异常可表现为下颌前突,近中错牙合及前牙反牙合。多由于不良哺乳姿势,乳前牙滞留或早失,上恒切牙先天性缺失,不良习惯、乳尖牙磨耗不足,全身性疾病以及遗传性下颌前突所致。
后牙反颌
 
后牙反合可发生在乳牙期或恒牙期,有个别牙反合,也有多数后牙反合;可发生在单侧,也可发生在双侧。后牙反合不仅引起牙合关系紊乱,尚可导致面部畸形,严重影响患者的口腔功能及面容。因此,一定要注意其预防工作。
反颌(地包天)
 
反颌,俗称“地包天”,指下牙咬合在上牙的外面;有些人不仅牙齿反颌,面部骨骼也畸形,称为骨性反颌,表现为上颌骨发育不足——后缩,下颌骨发育过度——前突,造成面中部凹陷,侧貌为新月形,影响美观和功能。
龅牙前突
 
它是一种容貌特征。也叫上下颌前突,鸟嘴畸形,突颌畸形等。是指上下门齿及上下颌骨向前突出,放松状态下上下唇多不能自然闭合,笑时牙龈大量外露。从正面观察开唇露齿,鼻唇沟较深,从侧面观察面部轮廓线于唇部过分向前突出,形成">"形外观。严重者因牙齿长期暴露而出现变黑、变黄甚至干裂。
牙齿萌出异常
 
多见于恒牙,因为恒牙受乳牙疾患的影响较多,如乳牙滞留或早失、外伤等。常见萌出异常有:牙齿早萌、萌出困难和异位萌出。
颌畸会给孩子带来的危害  影响口腔及颜面部发育
儿童生长发育期间的牙颌畸形如不能及时早期矫治,将会影响口腔及颜面部软硬组织的发育,引起面部的明显畸形。如地包天、开唇露齿等。牙颌畸形影响颜面美观是最直观的,如地包天、开唇露齿、下颌偏斜都会使人的整体形象大打折扣。有些少年儿童因为牙齿长得不好看,受到同学或小伙伴的的嘲笑,产生自卑感,严重的影响心理健康。
影响口腔卫生健康
牙齿排列不齐等牙颌畸形,牙齿自洁作用差,并且刷牙效果也不好,食物残渣和菌斑不容易去除,久之容易患龋齿、牙石、牙龈炎等口腔疾病,严重的可发展为牙周病,引起牙齿松动脱落。
影响口腔功能
有些牙颌畸形可能影响口腔功能。如前牙开牙合发音不清;反牙合、锁牙合病人对咬时接触面积比正常人小,咀嚼效率大大降低;深覆牙合会对下颌运动有影响,使下颌骨的运动关节-颞下颌关节运动异常,引起疼痛,并使面部肌肉容易疲劳。
影响全身健康
牙颌畸形引起的咀嚼功能的降低会加重胃肠的负担,时间长了会引起消化不良或胃肠疾病;牙颌畸形引起的龋坏、牙龈炎、牙周病等口腔疾患,在身体免疫力低下时会诱发心肌炎、肾炎等系统性疾病。

声明:本网站发布的内容(图片、视频和文字)以原创、转载和分享网络内容为主,如果涉及侵权请尽快告知,我们将会在第一时间删除。文章观点不代表本网站立场,如需处理请联系客服。电话:0551-65622865。

本站全力支持关于《中华人民共和国广告法》实施的“极限化违禁词”的相关规定,且已竭力规避使用“违禁词”。故即日起凡本网站任意页面含有极限化“违禁词”介绍的文字或图片,一律非本网站主观意愿并即刻失效,不可用于客户任何行为的参考依据。凡访客访问本网站,均表示认同此条款!反馈邮箱:1305583976@qq.com。