牙齿美白
您的当前位置:首页 > 常见问题 > 牙齿美白
洗牙主要是去除牙齿表面的色素、软垢、牙结石......
发布时间:2024-01-09 来源:倍新口腔 浏览次数:
很多女生不笑的时候非常漂亮,可是一笑起来却露出的一口黄牙,顔值立马被大打折扣。为了让牙齿变漂亮,朋友们也是尝试了各种办法。首先大家想到的就是洗牙,很多朋友一见到医生就问,洗牙可以把牙洗白吗?答案当然是不能。洗牙主要是去除牙齿表面的色素、软垢、牙结石,还原牙齿本来的颜色。
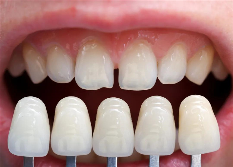
想要牙齿变白,我们可以使用冷光美白、贴面的方式。今天我们主要针对牙齿贴面进行详细的介绍。
哪些人适合牙贴面呢?
01、牙齿颜色异常,如四环素牙、氟斑牙,牙齿变色,对颜色不满意。
02、牙齿之间有缝隙。
03、牙齿形态异常,如过小牙,釉质发育不全。
04、牙齿表面有龋损,或补牙效果不满意。
05、牙齿折断也可以通过贴面修复。
06、牙齿轻度扭转,不愿意矫正的。
牙齿贴面选哪种材料比较好?
目前较为常见的贴面有两种,一是树脂贴面,另一种是瓷贴面。
树脂贴面:制作简单,快捷。
但颜色、透光性、耐久性都不是很理想,除了特殊情况,目前正规机构使用较少。
合肥牙齿美白
瓷贴面:目前在医院里使用最广泛。它有以下优点:
1、磨牙量少,安全。
2、瓷贴面颜色表达好,可以根据不同的牙齿情况,不同要求,选择适合的瓷块或染色,达到很好的美学效果。
3、瓷贴面对牙龈刺激小甚至无刺激,也不会造成对合牙磨损,是一种很健康的修复体。
4、瓷贴面较薄,一般一两周即可适应,适应后不会有明显的异物感,一般舌头感觉不到,所以在口腔内相对自然、舒适。
瓷贴面修复流程
医生首先要判断是否适合做瓷贴面,与患者充分沟通并接受后,必要时会先进行基础的牙齿及周围清洁,有龋洞要先补好。
然后就是牙体的预备,磨除量很少,一般零点几毫米至多到一毫米左右,甚至不磨牙。
预备完成后进行精细取模,送加工厂个性化定制,根据具体情况制作暂时性修复体过渡。
等待一个加工周期后到院复诊试戴瓷贴面,各方面满意则粘接固定就可以使用了。
合肥牙齿美白
在使用过程中,就要靠大家精心维护了,认真刷牙清洁、避免进食浓茶咖啡等深颜色食品,少吸烟,勿咬硬物,还有一点很重要,大家一定要定期复查。

声明:本网站发布的内容(图片、视频和文字)以原创、转载和分享网络内容为主,如果涉及侵权请尽快告知,我们将会在第一时间删除。文章观点不代表本网站立场,如需处理请联系客服。电话:0551-65622865。

本站全力支持关于《中华人民共和国广告法》实施的“极限化违禁词”的相关规定,且已竭力规避使用“违禁词”。故即日起凡本网站任意页面含有极限化“违禁词”介绍的文字或图片,一律非本网站主观意愿并即刻失效,不可用于客户任何行为的参考依据。凡访客访问本网站,均表示认同此条款!反馈邮箱:1305583976@qq.com。