牙齿修复
您的当前位置:首页 > 常见问题 > 牙齿修复
发现问题早解决!这些牙齿问题,你还要留着过年吗?
发布时间:2023-12-20 来源:倍新口腔 浏览次数:
 
俗话说“民以食为天,食以牙为先”,若没有一口健康好牙,再美味的食物都将失去原本的滋味。
春节马上就要到来,如果你有这些牙齿问题,赶紧在节前来个“大扫除”吧!
[智齿] 该拔就拔 别留着过年
智齿发炎,吃止痛药治标不治本,不能正常萌出的智齿还请尽早拔除。
智齿拔不拔让很多人难以取舍,疼得厉害时恨不得拔而后快,不疼时就没了拔牙的勇气,听之任之。
阻生智齿容易引起其他正常牙齿的位置偏移,导致食物残渣积存在牙齿缝隙中,引发很多发生在牙齿邻面的牙洞,尤其春节期间大鱼大肉吃得多,熬夜也较平日频繁,作息不规律,还容易引发“智齿冠周炎”,导致脸部红肿、张不开嘴,甚至发烧。
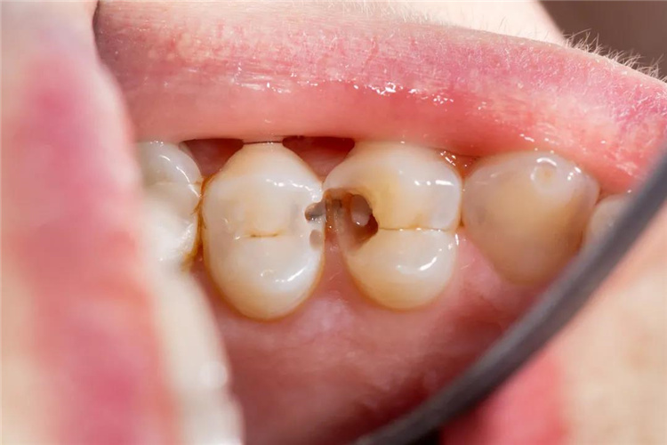
[蛀牙] 早发现早治疗
蛀牙不会自己好,吃药也没用。
蛀牙刚开始可能只是偶尔有细微的冷热不适,但如果不及时治疗,症状会加重,侵犯神经,很容易发展成为不可复性牙髓炎,带来持续不断的疼痛,甚至形成根尖的脓肿。
建议在年前做个全面口腔检查,如发现蛀牙,应尽快治疗,不要随意乱用消炎药,这些药物只能缓解表面症状,不及早治疗,牙齿缺损面积过大,无法一次性修补,不仅牙齿受罪,钱包也要受罪了。
[牙结石] 口腔检查 节前洁牙
大部分人的口腔内会发现牙结石,但是真正重视的人很少,它是引起牙周病的重要的原因之一。
牙结石是牙面上残留的牙菌斑和其他沉积物钙化或部分钙化物质。如果不及时清洗,牙结石会造成口臭、牙龈萎缩、牙周炎,发展到重度牙周炎时甚至出现牙齿松动,过早脱落。
洗牙能帮助大家清理牙结石,改善口腔卫生,预防牙周病。所以春节前不仅要打扫房屋清理污秽,也要给我们的牙齿进行一次彻底的清洁呀。
[牙齿隐裂或劈裂] 尽早解决
有些人在咀嚼硬的食物时感觉到牙齿瞬间的疼痛,但看不出牙齿有什么异常,所以没在意,实际上很有可能是牙隐裂。
起初,这些裂纹很细,牙齿没有明显的不适,不容易被发现。但随着裂纹加深,咀嚼硬物时牙齿出现疼痛或冷热不适,最后牙齿还有可能直接裂开,引起强烈的疼痛。
一旦发现或发生牙隐裂,尽可能不要用隐裂牙咬东西,应及时到专业口腔医院就诊,进行完善的治疗。
过年期间最忙的是嘴,最累的是牙。在享受美食欢声笑语的同时,也一定要记得爱护好自己的牙齿。
减少过冷过热食物交替食用,避免用牙齿咬开瓶盖和坚果类食品,就可以降低牙齿折裂和牙外伤发生的可能性。
在节前做一次全面的口腔检查,把一些牙齿问题及早解决。
最后提前祝大家新春快乐,吃嘛嘛香哟!

声明:本网站发布的内容(图片、视频和文字)以原创、转载和分享网络内容为主,如果涉及侵权请尽快告知,我们将会在第一时间删除。文章观点不代表本网站立场,如需处理请联系客服。电话:0551-65622865。

本站全力支持关于《中华人民共和国广告法》实施的“极限化违禁词”的相关规定,且已竭力规避使用“违禁词”。故即日起凡本网站任意页面含有极限化“违禁词”介绍的文字或图片,一律非本网站主观意愿并即刻失效,不可用于客户任何行为的参考依据。凡访客访问本网站,均表示认同此条款!反馈邮箱:1305583976@qq.com。