牙齿美容
您的当前位置:首页 > 常见问题 > 牙齿美容
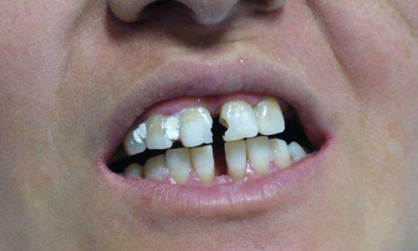
大门牙中的缝隙太大怎么办?合肥口腔诊所杨医生来支招
发布时间:2024-01-15 来源:倍新口腔 浏览次数:
在周末的一次聚会中,一位老朋友吐槽自己至今还是个单生狗可能是因为牙缝太大,影响了个人形象,导致自己的异性缘变差。除此之外,他还觉得这几年生意不好,或许就是因为牙缝太大漏财所致。
对此,我只认可一点,牙缝太大的确在很大程度上会影响我们的个人容貌,从而进一步影响我们的个人社交。不过,牙缝太大漏财这种纯属民间传言,没有任何科学依据,在这里我们就不做深究。
有很多人会觉得牙缝大是天生的,其实不一定,导致牙缝偏大有两种原因:
先天性:牙齿萌出以后就有缝,或者是舌系带过长、过宽,导致牙齿发育过程中,阻碍两个牙齿并到一起。
后天性:患者的牙周组织受到破坏、导致牙槽骨大量流失,牙齿因为松动移位、形成缝隙。
牙缝太大怎么办?
1、瓷贴面
瓷贴面,自然不易脱落,瓷贴面可以最大限度的少磨牙齿或不磨牙齿。对于氟斑牙、轻中度四环素牙、轻微牙齿稀疏或排列不齐等问题有优良的美学效果。
但是它的缺点是价格相对较贵,适应症有一定的局限性,它对于一些缝隙过大、牙齿过于扭曲的牙齿并不适用。
2、牙齿矫正
牙齿矫正是通过轻的矫治力诱导牙齿移动,是一种缓慢的生物改建过程,被移动牙齿的一侧骨吸收,另一侧骨新生重建,最终使牙齿移动至正常位置,不会对牙齿、牙周组织产生创伤!如果需要美观,可以考虑选择隐形牙套。
3、烤瓷牙或全瓷牙
优点是在关闭间隙的同时可以改变牙齿形态和位置,得到一个美观的效果。缺点是要磨除一部分健康的牙齿,对牙齿损伤明显,建议慎重选择。

声明:本网站发布的内容(图片、视频和文字)以原创、转载和分享网络内容为主,如果涉及侵权请尽快告知,我们将会在第一时间删除。文章观点不代表本网站立场,如需处理请联系客服。电话:0551-65622865。

本站全力支持关于《中华人民共和国广告法》实施的“极限化违禁词”的相关规定,且已竭力规避使用“违禁词”。故即日起凡本网站任意页面含有极限化“违禁词”介绍的文字或图片,一律非本网站主观意愿并即刻失效,不可用于客户任何行为的参考依据。凡访客访问本网站,均表示认同此条款!反馈邮箱:1305583976@qq.com。