儿童专科
您的当前位置:首页 > 常见问题 > 儿童专科
合肥正规口腔诊所:孩子牙齿上的黑色斑点是什么?
发布时间:2024-01-10 来源:倍新口腔 浏览次数:
最近,和一位老朋友在喝茶的时候聊到,他上小学的女儿变得越来越不自信,甚至产生了厌学心理。我问他是什么原因,他说她女儿牙齿上长了很多黑斑,很多同学嘲笑她,说她牙齿不好看,小孩心理受到了打击,所以哭着嚷着说不去上学了。
合肥口腔诊所
其实,这样的例子在现实生活中并不少见,很多因素都会导致牙齿长黑斑,比如龋齿、色素沉着、牙外伤等。
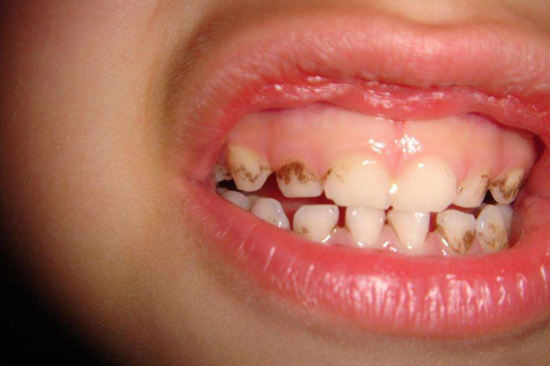
1、牙面黑渍
这是由外来的色素沉积附着引起的,我们 把它称为儿童"色素牙"。色素牙的黑斑呈点状、片状,主要聚集在牙颈部和牙体边缘,门牙尤为明显。
2、牙外伤
孩子在平时生活中遭遇牙齿受伤,即使当时没有断裂和破损,但是牙齿的内部可能已经受伤,牙髓已经受到了震荡。大多时候牙髓可以自行恢复,但也有些情况下牙髓无法自行恢复,牙齿内的神经血管逐渐坏死,会导致牙齿变得颜色灰暗发黑。
所以小孩牙齿一旦受到外伤,应及时去医院检查,判断牙髓是否坏死,是否需要治疗。
3、龋齿
这是一个常见的现象。很多小孩喜欢甜食,口腔清洁不到位,很容易导致蛀牙。蛀坏的牙体组织被腐蚀,变软,甚至出现黑洞,进而发生食物嵌塞,牙疼的现象。
4、色素牙
这种情况因人而异。成年人形成色素牙主要是抽烟、喝茶、喝咖啡等原因,但儿童相对来说饮食更规律,种类也更有限,很少会涉及到摄入上述食物。
儿童形成色素牙主要是因为平时经常喝饮料、吃巧克力、以及长期进食深色素食物。再加上少数儿童是因为本身牙齿的钙化不全,发育不良或者早期的牙齿被酸蚀,存在牙齿较易着色且不易清除从而造成色素牙。
合肥口腔诊所
那有了黑斑怎么办呢?
1、养成早晚刷牙的好习惯。
2、少吃生色素食物和饮料。
3、定期去口腔医院检查和洗牙。 

声明:本网站发布的内容(图片、视频和文字)以原创、转载和分享网络内容为主,如果涉及侵权请尽快告知,我们将会在第一时间删除。文章观点不代表本网站立场,如需处理请联系客服。电话:0551-65622865。

本站全力支持关于《中华人民共和国广告法》实施的“极限化违禁词”的相关规定,且已竭力规避使用“违禁词”。故即日起凡本网站任意页面含有极限化“违禁词”介绍的文字或图片,一律非本网站主观意愿并即刻失效,不可用于客户任何行为的参考依据。凡访客访问本网站,均表示认同此条款!反馈邮箱:1305583976@qq.com。