正畸专科
您的当前位置:首页 > 常见问题 > 正畸专科
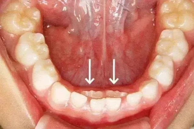
孩子长了双排牙,原来是家长惹的祸?如何解决?
发布时间:2024-01-05 来源:倍新口腔 浏览次数:
孩子长双排牙在如今的生活中并不少见,据统计,平均每10个孩子中,就会有5个孩子长了双排牙。那么,双排牙是怎么造成的呢?医生认为,很多时候是家长间接造成的。对此,很多家长很困惑,为什么孩子长双排牙父母却成了罪魁祸首了呢?
为什么孩子会长双排牙呢?
正常情况下,恒牙胚位于乳牙根的舌侧,恒牙在萌出过程中逐渐向前上方移动,导致乳牙根吸收至脱落,随后恒牙萌出。以前的孩子基本都能正常的完成乳牙和恒牙的换替,可为啥现如今的孩子换个牙都会出现如此多的问题?这也正是家长们困惑的地方,在自己那个年代很少有孩子长双排牙,为啥现在生活条件好了,注重口腔健康了,反倒孩子更容易长双排牙了呢?
其实关键问题就出在家长的喂养方式上,太精细。
现如今,物质生活条件变好了,父母对孩子的爱更加无微不至,比如吃苹果切成块,吃甘蔗榨成汁,吃肉切成丁等等,这种精细化的饮食方式,让孩子们失去了很多咀嚼锻炼的好机会。
牙齿和颌骨得不到足够的刺激和锻炼,导致处于换牙期孩子们的乳牙迟迟赖在牙床上“不下岗”,恒牙萌出没有地方,只能在乳牙的边上挤出。可以说孩子出现双排牙,责任在家长身上。
孩子有了双排牙怎么办?
发现孩子出现了双排牙,建议家长及早到正规医疗机构检查、拔除。如果乳牙已经松动了,甚至有些只有牙龈连着,乳牙可能会自行随进食过程脱落。因此,孩子在进食过程需要多加注意。
特别要注意的是,家长绝不可以认为这只是一件小事,自己在家动手拔牙齿。家中拔牙时,孩子会因紧张而可能将牙齿误吸入气管;如力度把握不好,会伤及恒牙;甚至会因乳牙和恒牙“长得很像”,存在误拔的风险。所以,拔牙请前往正规的口腔医院。
最后,建议家长让孩子养成良好的饮食习惯,多吃粗粮,吃一些硬度适中、可撕拽的食物,切不能因为溺爱而一味只吃精细化的食物,这样非常不利于孩子的口腔健康。

声明:本网站发布的内容(图片、视频和文字)以原创、转载和分享网络内容为主,如果涉及侵权请尽快告知,我们将会在第一时间删除。文章观点不代表本网站立场,如需处理请联系客服。电话:0551-65622865。

本站全力支持关于《中华人民共和国广告法》实施的“极限化违禁词”的相关规定,且已竭力规避使用“违禁词”。故即日起凡本网站任意页面含有极限化“违禁词”介绍的文字或图片,一律非本网站主观意愿并即刻失效,不可用于客户任何行为的参考依据。凡访客访问本网站,均表示认同此条款!反馈邮箱:1305583976@qq.com。