牙齿治疗
您的当前位置:首页 > 常见问题 > 牙齿治疗
牙齿蛀了一半想补牙,为啥口腔科医生却说补不了?
发布时间:2024-01-05 来源:倍新口腔 浏览次数:
很多患者不堪蛀牙带来的痛苦,一口气就将蛀牙拔掉了 ,一了百了。当然,也有一些人不忍心拔掉,会选择去医院补牙,却被医生告知补不了,为什么呢?
不能补牙主要有这两方面的原因
1、蛀牙面积过大,复合树脂补牙往往没效果,补完没多久容易掉。
2、蛀牙出现疼痛,说明牙髓受细菌感染,可能已经引起牙髓炎,这时得进行根管治疗。
3、蛀牙引起牙根发炎,牙龈上还会长脓包,医生会拍片检查症状。
难道蛀牙都不能补牙?
不是,要看蛀牙的阶段!
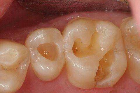
第一阶段:牙齿咬合面有黑线,大牙一般最常见,说明开始蛀牙了,牙釉质被细菌龋坏,但不痛不痒,会出现窝沟龋得及时补牙,而不是去洗牙;
第二阶段:牙齿出现小黑洞,说明引起中度蛀牙,细菌腐蚀来到牙本质,伴随着牙齿敏感,黑色腐败物质其实就是细菌的产物,这时候还可以再补牙;
第三阶段:牙齿超过一半烂掉,说明已经重度蛀牙,细菌伤及牙髓牙神经,还伴随着剧烈疼痛,牙神经病变这时得根管治疗处理,挽救伤痕累累的牙齿。
补牙要趁早 不及时后果严重
1、牙齿受损后,如果没有及时补牙,会造成牙髓腔外露,诱发牙髓疾病。补牙能防止病变的继续发展,重建患牙健康,防止牙髓炎、根尖周疾病的发生。
2、牙齿形态、色泽将直接影响面部的美观,尤其是前牙缺损,补牙能恢复牙齿的自然形态和美观,消除人们的因缺牙造成的自卑心理。
3、牙齿的龋坏、缺失,会影响咀嚼,加重胃肠负担,进而影响身体健康。
4、若不进行及时治疗,病变就会越来越大,从浅龋发展到深龋,对冷热酸甜等食物刺激敏感。

声明:本网站发布的内容(图片、视频和文字)以原创、转载和分享网络内容为主,如果涉及侵权请尽快告知,我们将会在第一时间删除。文章观点不代表本网站立场,如需处理请联系客服。电话:0551-65622865。

本站全力支持关于《中华人民共和国广告法》实施的“极限化违禁词”的相关规定,且已竭力规避使用“违禁词”。故即日起凡本网站任意页面含有极限化“违禁词”介绍的文字或图片,一律非本网站主观意愿并即刻失效,不可用于客户任何行为的参考依据。凡访客访问本网站,均表示认同此条款!反馈邮箱:1305583976@qq.com。