儿童专科
您的当前位置:首页 > 诊疗项目 > 儿童专科
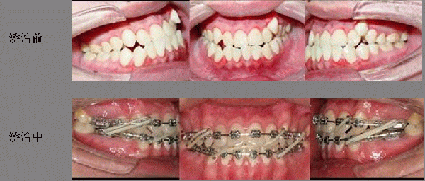
儿童牙齿矫正
 
儿童矫正的黄金时间并不是相对固定的,也不仅仅是在青少年时期。要知道牙齿矫正会因为儿童配合程度的不同、性别的不同,甚至是牙齿畸形类型的不同而不同。要想让孩子在矫正上少走一些弯路,建议各位爸爸妈妈们提前知道这些矫正的黄金时间!

地包天(3~5岁)
• 为了防止面部骨骼畸形的出现及加重,幼儿时期前牙兜齿应尽早治疗,最早可以从3~5岁开始,此时患儿配合度较好,乳牙牙根处于稳定期,适合接受矫治力;而0~3岁的患儿配合度较差,重点在于进行预防性和阻断性的治疗,如纠正患儿不良习惯等;5岁之后,乳牙牙根开始吸收,矫治受力容易引起乳牙脱落而终止治疗。

 
功能性畸形(6~12岁)
• 由于常出现在替牙列期(即6-12岁),如果推迟矫治,便有可能发展成骨性畸形,所以最佳矫正时期应在替牙列期,即是6-12岁。
 
一般的牙性畸形(12或15岁)
• 一般的牙性畸形,最佳矫治的时机是恒牙列早期(即12-13岁),因为这时儿童刚换完牙,并且处于生长发育比较旺盛的时候。

 

上一篇:
窝沟封闭
下一篇:
活动矫正
返回