0551-65622865
医保定点单位
X
首页
关于我们
公司简介
企业文化
就医环境
顶尖设备
新闻资讯
诊疗项目
正畸专科
种植专科
牙齿治疗
洁牙保健
牙齿美白
牙齿美容
牙齿修复
儿童专科
其他
成功案例
联系我们
联系方式
在线预约
常见问题
正畸专科
种植专科
牙齿治疗
洁牙保健
牙齿美白
牙齿美容
牙齿修复
儿童专科
其他
诊疗项目
正畸专科
种植专科
牙齿治疗
洁牙保健
牙齿美白
牙齿美容
牙齿修复
儿童专科
其他
洁牙保健
您的当前位置:
首页
>
诊疗项目
>
洁牙保健
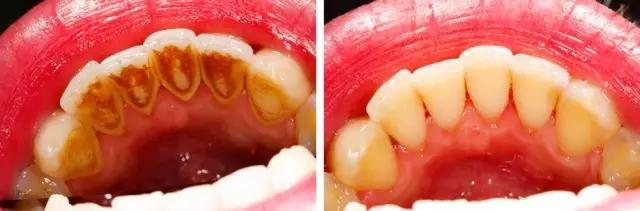
洁牙
洁牙是一种很好的牙齿保健手段,亦是治疗牙周病的首要措施,通过定期的洁牙,不但可以彻底清除牙齿上的菌斑和结石,令牙周组织保持健康,防治牙周病,而且,洁牙时容易发现细小的不易觉察的牙病,如比较隐蔽的龋齿,从而达到早发现早治疗的目的。
上一篇:
窝沟封闭
下一篇:
儿童牙齿矫正
返回