0551-65622865
医保定点单位
X
首页
关于我们
公司简介
企业文化
就医环境
顶尖设备
新闻资讯
诊疗项目
正畸专科
种植专科
牙齿治疗
洁牙保健
牙齿美白
牙齿美容
牙齿修复
儿童专科
其他
成功案例
联系我们
联系方式
在线预约
常见问题
正畸专科
种植专科
牙齿治疗
洁牙保健
牙齿美白
牙齿美容
牙齿修复
儿童专科
其他
诊疗项目
正畸专科
种植专科
牙齿治疗
洁牙保健
牙齿美白
牙齿美容
牙齿修复
儿童专科
其他
洁牙保健
您的当前位置:
首页
>
诊疗项目
>
洁牙保健
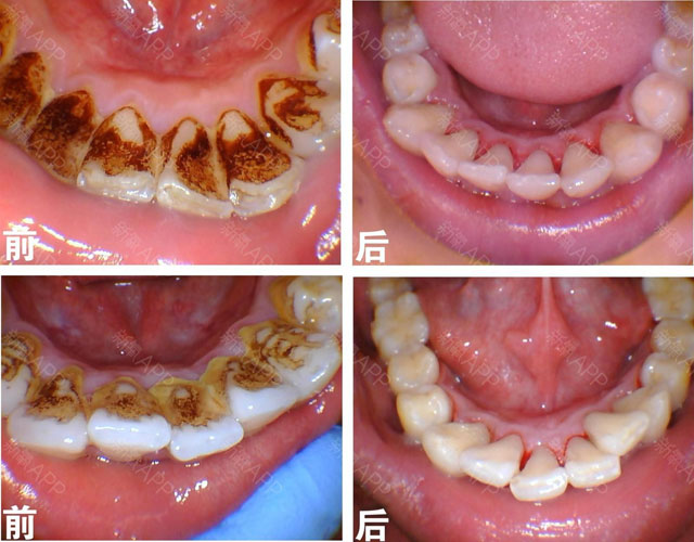
精细深度洁牙
如果你超过一年或者从来没有洗过牙,那么简单的洗牙就不能解决问题,因为牙石会长在牙龈下,牙周袋里。简单的洗牙只能去除表面的牙石,但不能达到完全清洁牙齿的效果。还有如果牙周袋深度超过3mm,就需要深刮(深度洗牙)
上一篇:
窝沟封闭
下一篇:
儿童牙齿矫正
返回