牙齿修复
您的当前位置:首页 > 诊疗项目 > 牙齿修复
牙体缺损修复
 

一、银汞充填

 

优点:1、银汞合金用于补后牙可以避免树脂材料补牙导致的补牙后酸痛的问题。2、可以使接触点恢复得很好,避免补牙后塞牙的问题。 3、多年后万一有继发龋,去除充填物容易,可以不伤及正常牙体。
缺点:1、银汞合金色泽不好。2、龋洞较深,用的衬垫材料太薄,不能隔断银汞合金传导的冷热刺激,而出现冷热刺激痛的症状。
二、玻璃离子充填

 

优点:1、玻璃离子体水门汀凝固后具有半透明性,色泽也与牙齿相似,可以作为前牙牙体缺损修复.2、由于玻璃离子体水门汀吸水后有一定的膨胀以及对牙齿有一定的化学粘接性,该材料的边缘闭性较好3玻璃离子体水门汀的牙髓刺激性很小,生物相容性较高。
缺点:玻璃离子质地较软,耐磨性较差。
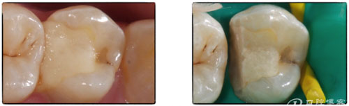
三、树脂充填

 

优点:1、美观,非常接近牙齿的天然颜色,主要用于前牙修复,特别适合爱美人士。2、耐用,复合树脂补牙,与釉质有较强的粘合力,比较牢固,不易脱落。3、适用广,可以用于垫底、窝沟封闭、瓜子牙、牙缝等各种情况的充填和修复。
缺点:1、复合树脂材料补牙程序比较复杂。2、树脂耐磨性较银汞低。3、树脂充填有一定刺激性,可能引起牙体不适。

四、树脂嵌体

 

树脂嵌体比直接的树脂补牙优点是:1、它的形成是在口腔外制作完成的。收缩较小。2、与瓷嵌体相比,美学方面毫不逊色。3、比瓷嵌体对牙齿磨损小,更加有利于保护对颌牙齿。4、磨牙比瓷嵌体更少。5、操作简单,比瓷嵌体便宜。
缺点:1、耐磨性还是不如瓷嵌体。2、如果需要较大咬合力,用它仍然不合适。  

五、瓷嵌体

 

优点:1、瓷嵌体补牙是美观的:嵌体一般都是全瓷块,美观度肯定要高,我们补上牙齿是基本上看不出来的,非常的自然的。2、良好的边缘性:瓷嵌体有良好的边缘密合性,不容易嵌塞食物,而且牙齿表面是光滑的抛光面也可以减少菌斑的附着的。3、硬度比较高:瓷嵌体硬度也是比较高的,我们可以正常的吃东西,不会像普通的树脂补牙,容易脱落的。
缺点:较树脂嵌体备牙量略大。

 

 

上一篇:
活动修复
下一篇:
儿童牙齿矫正
返回